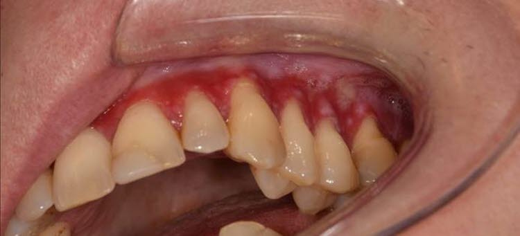
Så här skadas munnen av vitt snus
Ny forskning vid Göteborgs universitet visar att vitt snus leder till smärtsamma inflammationer i munnen som kan ta månader eller år att läka. Vilket är mycket värre skador än vad det bruna snuset leder till.
- Inom tandvården är vi väldigt oroliga för dessa skador som det vita snuset ger. Vävnadsprover visar på allvarlig inflammation, med rodnad, uttunnad slemhinna, till och med ibland sår. Det är tragiskt att våra barn och ungdomar ska behöva vara försökskaniner åt tobaksindustrin, i väntan på konkreta forskningsbevis, säger Johanna Reuterving Smajic, som jobbar med Tobaksfri utmaning på Folktandvårdens folkhälsoklinik.
Så här påverkas hjärta, kärl och lungor av nikotin
Nikotin är ett nervgift som är lika beroendeskapande som kokain och som skadar hjärnan, hjärta och kärl, lungorna, ja i princip hela kroppen. Nikotin finns i höga halter i både vitt snus och e-cigaretter.
Magnus Lundbäck, hjärtläkare på Danderyds sjukhus har forskat på hur nikotinet i e-cigaretter påverkar kroppen. Se en kort film här där han berättar mer.
FILM: e-cigaretter ger ökad risk för blodproppsbildning och kärlskada
Detta var ett nyhetsbrev från Tobaksfri utmaning, ett initiativ av Folktandvården i Kalmar län i samarbete med länets gymnasieskolor för att förebygga nikotin- och tobaksbruk bland ungdomar. Läs mer om Tobaksfri utmaning.
Har du frågor? Här hittar du våra kontaktuppgifter.
Frågor och svar
Hur kan jag prata med mitt barn om nikotin och tobak?
Du som vuxen är viktig för din tonåring i fråga om att sätta gränser, vara en förebild och vara den som vågar ställa de nyfikna frågorna. På nedan länk hittar du konkreta tips på hur du kan prata med ditt barn om tobak och nikotin. Varvat med kunskap finns också reflektionsfrågor som du kan lyfta med ditt barn. Tanken är att frågorna ska bidra till ett viktigt samtal om nikotinberoende och nikotinprodukter.
Vad kan jag som vårdnadshavare/förälder göra?
Ditt NEJ gör skillnad. Om ditt barn kan avstå tobak under tonårstiden är chansen mycket stor att hen förblir tobaksfri för resten av sitt liv. Du som förälder är viktig för din tonåring i fråga om att sätta gränser, vara en förebild och vara den som vågar ställa de nyfikna frågorna.
Det gör nämligen skillnad när du som förälder säger ifrån om du märker att ditt barn använder tobaks- eller nikotinprodukter. Forskning som gjorts på området visar att förbudet blir en ”godkänd” anledning att tacka nej och gör det på så sätt enklare att stå emot grupptryck. Och eftersom grupptryck är en av de största orsakerna till att barn och ungdomar börjar använda tobaks- och nikotinprodukter är det viktigt att du som vuxen är tydlig med att tobaks- och nikotinbruk inte är okej. Även om du som förälder själv använder tobaks- eller nikotinprodukter har ditt NEJ stor påverkan och betydelse.
Vad finns det för hjälp att få om jag/mitt barn vill sluta?
På 1177.se finns stöd och hjälp både till dig och ditt barn, om ni vill sluta med nikotin. och tobaksprodukter. Bland annat finns Tobakshjälpen som är en kostnadsfri digital tobaksavvänjning för alla invånare i Kalmar län som vill sluta röka eller snusa. Läs mer om Tobakshjälpen här.
På alla hälsocentraler i Region Kalmar län finns tobaksavvänjare på livsstilsmottagningar där det kostnadsfritt går att få hjälp att sluta röka eller snusa.